BabyGezondheid & groei

Waterhoofd bij je baby: wat is het en wat zijn de gevolgen?

Waterhoofd baby Getty Images
Getty Images
Leestijd 6 minuten
Lees verder onder de advertentie

Wat is een waterhoofd?

De medische term voor waterhoofd is hydrocefalie, wat ‘te veel water in het hoofd’ betekent. Nu zit er natuurlijk niet echt water in het hoofd, maar wel hersenvocht. Zit er te veel hersenvocht in de schedel, dan ontstaat er door de druk een groot hoofd, oftewel een waterhoofd.

Teveel aan hersenvocht

De hersenen nemen het grootste gedeelte van de schedel in beslag. Om de kwetsbare hersenen te beschermen tegen de schedel, worden ze omgeven door hersenvocht (liquor). Dit hersenvocht zorgt ook voor het transport van voedingsstoffen en de afvoer van afvalstoffen.

Dit hersenvocht wordt aangemaakt in twee grote hersenkamers, de zijventrikels, en stroomt via de derde en vierde hersenkamer naar de ruimte rondom de hersenen. Daar wordt het vocht via de hersenvliezen afgevoerd naar de bloedvaten. De hoeveelheid hersenvocht wordt zo dagelijks ververst. Gaat het mis met de balans tussen de aan- en afvoer, dan kunnen de hersenkamers te groot worden en kan er een waterhoofd ontstaan.

Zo ontstaat een waterhoofd

Bij een waterhoofd is er dus een verstoord evenwicht tussen de aanmaak en de afvoer van hersenvocht. Als er te veel hersenvocht in de schedel zit, komen de hersenkamers onder druk te staan en gaan deze zich verwijden. Dit kan vervolgens leiden tot een groot hoofd, wat ook wel een waterhoofd wordt genoemd. Deze verstoorde balans kan drie oorzaken hebben:

Lees verder onder de advertentie
  • Een te grote aanmaak van hersenvocht:
    Dit komt maar heel zelden voor.

  • Een gestoorde afvoer van hersenvocht:
    Dit is de meest voorkomende oorzaak van een waterhoofd. Ergens in de route die het hersenvocht aflegt, zit dan een blokkade. Het kan ook zo zijn dat er een probleem is met de hersenvliezen, waardoor het vocht niet goed wordt opgenomen door de bloedbaan.

  • Een tekort aan hersencellen:
    Soms wordt een baby geboren met minder hersencellen dan normaal. De hersenen zijn dan kleiner en de overige ruimte in de schedel wordt opgevuld door grotere hersenkamers en hersenvocht. De druk is in dit geval niet verhoogd, daardoor zijn er ook geen klachten van een waterhoofd.

Wat zijn de symptomen van een waterhoofd?

Omdat het teveel aan hersenvocht tegen de hersens drukt, krijgt een kind met een waterhoofd snel klachten. Bovendien is een waterhoofd bij een baby snel zichtbaar, omdat de fontanellen en schedelnaden nog niet gesloten zijn, en het hoofd snel groter wordt. Deze symptomen kunnen wijzen op een waterhoofd:

  • een te snelle groei van het hoofd

  • een gespannen fontanel

  • uitpuilende ogen

  • opzettende aderen op het hoofd

  • prikkelbaarheid

  • slaperigheid en lusteloosheid

  • misselijkheid en last van braken

  • mogelijk last van epileptische aanvallen

  • het hoofd niet goed kunnen opheffen in buikligging

  • het vaak strekken van de beentjes

  • minder goed drinken

  • ontwikkelingsachterstand

Lees verder onder de advertentie

Zijn de fontanellen van je baby al gesloten, dan kunnen er nog andere klachten optreden zoals: hoofdpijn, misselijkheid, braken, sufheid, problemen met zien en spierspasmen.

Wat zijn de oorzaken van een aangeboren waterhoofd?

Een waterhoofd is meestal aangeboren en komt best vaak voor: 1 op de 500 baby’s heeft aangeboren hydrocefalie. Er zijn verschillende oorzaken voor een aangeboren waterhoofd:

  • Vernauwing aquaduct van Sylvius
    Dit is de meest voorkomende oorzaak van een aangeboren waterhoofd. Het aquaduct van Sylvius verbindt de derde en vierde hersenkamer. Als deze verbinding te nauw is, ontstaat er een blokkade en hoopt het hersenvocht zich op in de derde hersenkamer en de grote hersenkamers.

  • Syndroom van Dandy-Walker
    In dit geval is er een aanlegstoornis in de hersenen. Er ontbreekt een deel van de kleine hersenen en de vierde hersenkamer is groter dan normaal. Hierdoor kan het hersenvocht niet goed doorstromen.

  • Syndroom van Arnold-Chiari
    Dit is een misvorming in de kleine hersenen, waardoor er een beknelling ontstaat. Het hersenvocht hoopt zich op, omdat het niet goed kan doorstromen.

  • Spina bifida (open ruggetje)
    Bij een open ruggetje sluit de zogenaamde neurale buis zich niet goed tijdens de zwangerschap. Dit is een belangrijk onderdeel van je kind, want het vormt de basis voor zijn centrale zenuwstelsel. Als de neurale buis niet goed sluit, ontstaat een open ruggetje en dat kan gepaard gaan met een waterhoofd. Dit is trouwens een van de redenen waarom je al vóór de zwangerschap foliumzuur wilt slikken.

Lees verder onder de advertentie

Lees verder: Wat is een open ruggetje en hoe kun je het behandelen?

Wat zijn oorzaken van een niet-aangeboren waterhoofd?

Een waterhoofd kan ook ontstaan na de geboorte. Mogelijke oorzaken zijn dan bijvoorbeeld een hersenbloeding na vroeggeboorte, een hersentumor of hersenvliesontsteking (meningitis).

Is het erfelijk?

Een waterhoofd is meestal niet erfelijk. Er zijn wel een paar erfelijke vormen. Deze kunnen tegenwoordig worden onderzocht met DNA-onderzoek.

Lees verder onder de advertentie

Waarom een snelle diagnose bij een waterhoofd zo belangrijk is

Om schade aan de hersenen te voorkomen, is een snelle diagnose en behandeling belangrijk. Is er een vermoeden dat je (ongeboren) baby een waterhoofd heeft, dan kan er een diagnose worden gesteld door middel van de 20-wekenecho, een CT-scan van het hoofd of een MRI-scan. Er wordt dan gekeken naar de grootte van de hersenkamers. Normaal gesproken zit er zo’n 150 milliliter vocht in de hersenkamer en rond de hersenen. Op een CT-scan worden de hersenen licht grijs weergegeven en is het vocht in de hersenen zwart aangegeven. Te veel zwart duidt op te veel vocht in de hersenen en dus op een waterhoofd.

Waterhoofd bij je baby Ouders van Nu Redactie
Ouders van Nu Redactie

MRI-foto van waterhoofd. Bron: kinderneurologie.eu.

Lees verder onder de advertentie

Hoe ziet de behandeling van een waterhoofd eruit?

Een waterhoofd kan alleen chirurgisch worden behandeld. Er wordt dan een drain geplaatst, waardoor het hersenvocht wordt afgevoerd. Een drain is een kunststofbuisje dat in het lichaam wordt gebracht. Dit kan in- of extern:

  • Een externe drain legt een rechtstreekse verbinding tussen het hersenvocht en een reservoir buiten het lichaam, waardoor het hersenvocht kan worden afgevoerd.

  • Met een interne drain wordt een buisje helemaal in het lichaam geplaatst, waarbij de hersenkamer verbonden wordt met de buikholte of het hart. Deze drain heeft een ventiel, een reservoir en een afvoerend slangetje zodat het hersenvocht wegvloeit in de buikholte of het hart. Een drain naar het hart loopt via een ader in de hals.

Het plaatsen van een drain is een kleine ingreep. Wel kunnen er later problemen met de drain ontstaan. De meest voorkomende complicatie is verstopping van het systeem. Regelmatige controle van een patiënt met een drain is daarom heel belangrijk.

Lees verder onder de advertentie
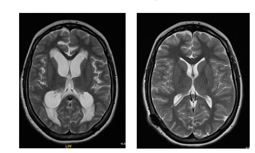
Waterhoofd bij je baby Ouders van Nu Redactie
Ouders van Nu Redactie

MRI-foto’s van waterhoofd: links voor drainplaatsing en rechts na drainplaatsing. Bron: kinderneurologie.eu.

Wat zijn de gevolgen van een waterhoofd?

De effecten op lange termijn hangen af van de ernst van het waterhoofd. Zo kunnen de gevolgen van een waterhoofd tijdelijk zijn en verdwijnen ze na de behandeling. Een te hoge druk op de hersenen kan ervoor zorgen dat de hersenen van je kind blijvend beschadigd raken. Dit kan bijvoorbeeld zorgen voor problemen met zien, praten, bewegen, het denkvermogen en gedrag. Als je kind snel wordt behandeld, hoeft hij er geen blijvende schade aan over houden.

Lees verder onder de advertentie

Bronnen: Radboud UMC, Hersenstichting